您现在的位置是温州医科大学新闻中心 >> 媒体温医 >> 地市级
媒体温医
  • 温度新闻:68岁阿姨三年头晕按脑梗治不好,元凶是千分之0.25的罕见畸形
  • 作者:姚红响    通讯员单位:附属第二医院、育英儿童医院   编辑:邵子伊   字数:1006   浏览:739
  • “晕了三年,跑了好几家医院都说是脑梗,药吃了一大堆,一点用都没有,没想到竟是肚子里的血管长错了!”近日,68岁的王阿姨(化名)在温州医科大学附属第二医院介入医学科康复出院,说起这段求医经历,她连连感慨,要不是医生揪出了“真凶”,自己还得被头晕折磨下去。

    王阿姨的头晕毛病,从三年前就开始了。一开始只是偶尔晕一下,休息会儿就能缓解,可后来越来越频繁,有时坐着看电视都会天旋地转,甚至走路都得扶着墙。家人带着她跑了多家医院,头颅MRI显示“腔隙性脑梗死”,颈动脉B超也提示血管轻度狭窄,医生都按脑梗来治,开了抗凝、活血的药,可王阿姨吃了三年,头晕的症状愣是没减轻,反而时不时还加重。

    抱着最后一丝希望,王阿姨来到温医大附二院介入医学科就诊。接诊医生先给她做了全面检查,血常规、肝肾功能、血糖血脂这些指标都没啥大问题,可看到血氨值时,医生立刻皱起了眉——数值高达正常值的8倍以上!“血氨这么高,肯定不是单纯的脑梗,得往其他方向查。”

    进一步做腹部增强CT,真相终于水落石出:王阿姨左侧腹膜后有一堆迂曲增粗的血管影,是罕见的血管畸形。经过科室团队深入讨论,最终确诊她患上了“Abernethy畸形”,这是一种先天性门静脉畸形,文献报道发病率仅1/4000,相当于四千个人里才可能出现一例,难怪之前一直没诊断出来。

    “这个病是门静脉先天长错了道,本该流进肝脏‘解毒’的血,直接绕开肝脏进了全身循环。”介入医学科医生解释,肝脏是身体的“解毒工厂”,门静脉血里的氨等毒素全靠肝脏处理,可王阿姨的血液没经过这道工序,毒素直接跑到全身,血氨越积越高,就引发了头晕;而且肝脏长期没得到门静脉供血,慢慢会萎缩,甚至可能发展成肝硬化、肝癌;那些迂曲扩张的异常血管,还可能导致门静脉高压,引发食管胃底静脉曲张破裂出血,每一种后果都很凶险。

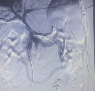
    明确诊断后,介入医学科团队决定用微创介入手术帮王阿姨解决问题。手术在局部麻醉下进行,医生先穿刺股静脉做左肾静脉造影,没找到明确的畸形血管;又改行经皮肝穿刺门静脉,顺着脾静脉、肠系膜上静脉造影,终于看清了那团迂曲扩张的畸形血管团。

    随后,医生把细导管精准插进畸形血管里,依次释放血管塞和弹簧圈,稳稳封堵住了分流的通道。整个手术微创完成,王阿姨全程清醒,没受多少罪。

    术后第二天,王阿姨的血氨值就降了下来,头晕的感觉明显减轻,再也没有天旋地转的情况。住了几天院,她就顺利出院了,如今恢复得很好,日常活动完全不受影响。

    扫一扫在手机打开当前页

  • 分享到:
相关新闻:
暂时没有找到相关新闻!
版权所有:温州医科大学党委宣传部 未经许可,请勿转载
  技术支持:麦拓科技