您现在的位置是温州医科大学新闻中心 >> 媒体温医 >> 地市级
媒体温医
  • 温度新闻客户端:73岁孤寡老人瘫痪在床,一杯 “神奇药水”下肚,竟能拄拐走路!
  • 作者:张倩倩、林尚    通讯员单位:附属第二医院、育英儿童医院   编辑:方静含   字数:978   浏览:549
  • “以前瘫在床上下不了地,连翻个身都要麻烦侄子,现在我能拄着拐杖自己走了,真是捡回半条命!”近日,73岁的林伯(化名)在温州医科大学附属第二医院核医学科复查时,脸上满是笑意。谁能想到,这位右眼失明多年、还因癌症瘫痪的孤寡老人,仅凭一杯看似普通的“药水”,就从绝望中站了起来。

    林伯的人生过得不容易,无儿无女,靠着低保度日,右眼早已失明。更让他崩溃的是,几年前查出甲状腺乳头状癌,后来癌细胞转移到胸椎,压迫到脊髓,导致双下肢彻底瘫痪。“当时觉得天都塌了,吃喝拉撒全靠侄子照顾,我一个孤寡老人,真是拖累人。”林伯回忆,那段时间他整日躺在床上,连活下去的勇气都快没了。

    就在全家一筹莫展时,温医大附二院核医学科医生带来了希望:可以试试核医学的“靶向内照射”治疗,也就是喝一杯含有碘-131的“神奇药水”。“喝杯水就能治癌?还能让我站起来?”林伯一开始满是怀疑,毕竟传统放疗化疗的痛苦他早有耳闻,可自己年纪大、身体弱,根本扛不住大手术和强化疗。

    核医学科医生耐心解释:“甲状腺细胞和癌细胞都特别‘喜欢’碘,这杯药水里的碘-131就像‘智能导弹’,喝下去后会顺着血液找到癌细胞,精准聚集在病灶里。”更神奇的是,碘-131释放的射线射程只有1毫米左右,只会“定点清除”癌细胞,不会伤到周围的正常组织——这对压迫脊髓的胸椎转移灶来说,既能杀瘤,又能保护脆弱的神经,为恢复创造机会。

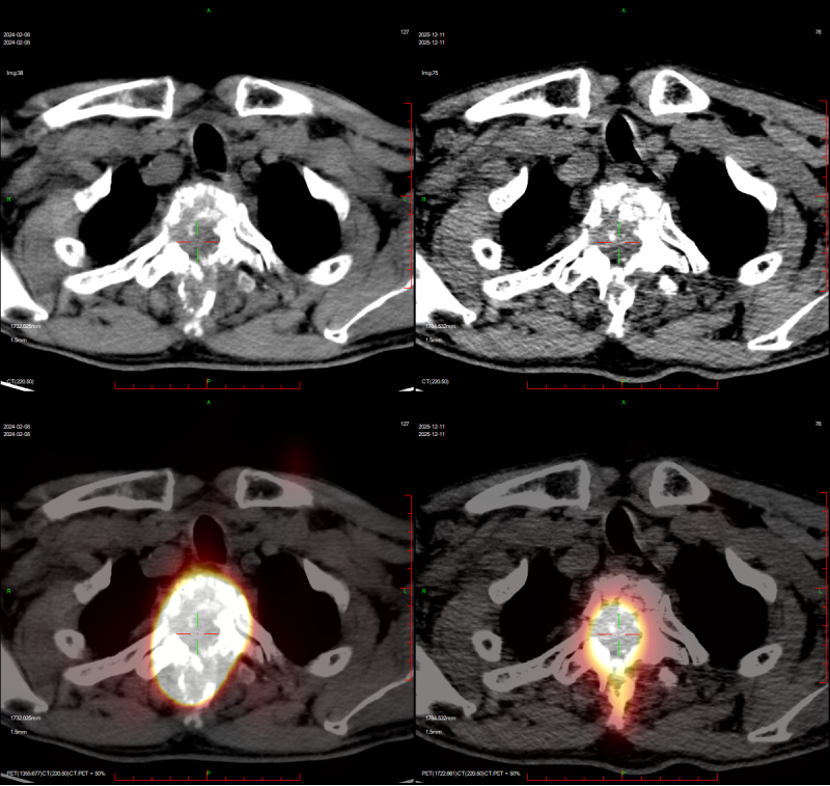
    胸椎转移瘤伴脊髓压迫治疗后,病灶缩小

    治疗过程比林伯想象的简单多了:就像喝普通盐水似的,一口喝下“药水”,然后在核素防护病房里隔离一段时间,等辐射衰减达标就能出院。随着治疗推进,奇迹慢慢发生:林伯感觉腿上有了知觉,原本麻木的双腿渐渐能轻微活动,再后来,在侄子的搀扶下能坐起来,最后竟能拄着拐杖慢慢走路了!复查显示,他胸椎上的转移灶明显缩小,脊髓压迫减轻,神经功能在逐步恢复。

    “对于林伯这样高龄、一般情况较弱的患者,治疗的安全性至关重要。”医生介绍,碘-131这种治疗不用开大刀、不用遭化疗的罪,副作用远小于传统方法,特别适合林伯这样的情况。如今,林伯不仅能自理生活,还能在院子里慢慢散步,重新找回了生命的尊严。

    来源:温度新闻客户端

    链接:https://wdapp.wzrb.com.cn/app_pub/xw/shx/202512/t20251215_584737.html?docId=584737

    扫一扫在手机打开当前页

  • 分享到:
相关新闻:
暂时没有找到相关新闻!
版权所有:温州医科大学党委宣传部 未经许可,请勿转载
  技术支持:麦拓科技